Специалисты центра сердечно-сосудистой хирургии НМИЦ ВМТ им. А.А. Вишневского МО РФ успешно выполнили операцию по устранению последствий огнестрельного ранения 20-летней давности.
Пациент З. обратился к врачам с жалобами на наличие пульсирующего образования в левой подколенной области. Уже долгое время он испытывал периодическое чувство онемения и мурашек в области левого бедра и голени, левая нога отекала. Кроме того, начались перебои в работе сердца.
При сборе анамнеза выяснилось, что 21 год назад мужчина перенес огнестрельное ранение мягких тканей левого бедра и голени. Через 5 лет после ранения появилась отечность левой нижней конечности. За месяц же до госпитализации пациент начал отмечать перебои в работе сердца, что и заставило его обратиться к врачу.
Во время осмотра врачи обратили внимание на значительный отек левой нижней конечности (+4 см), усиление пульсовой волны в бедренном и подколенном сегментах слева, симптом “кошачьего мурлыканья” в левой подколенной ямке, который напоминает дрожание кошки, когда мы кладем на нее руку во время мурлыканья.
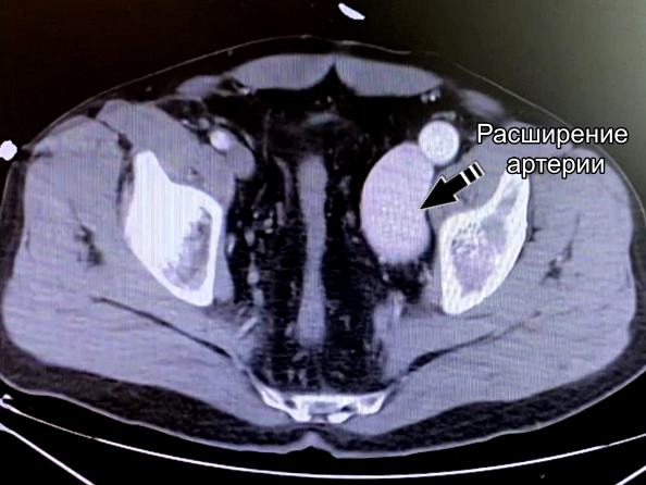
По результатам ЭХОКГ выявлена значимая перегрузка правых отделов сердца. Во время КТ ангиографии врачи обнаружили артерио-венозное соустье в области подколенной ямки (патологическое сообщение между артерией и веной, приводящее к перегрузке сердца). За годы функционирования этой артерио-венозной фистулы произошло расширение артерио-венозной стенки, что привело к значительному расширению артерии. Это грозило разрывом аорты или развитием аневризмы сердца.

Специалисты центра сердечно-сосудистой хирургии госпиталя Вишневского выполнили протезирование подколенной артерии с перевязкой артерио-венозного соустья, после которого при контрольной КТ ангиографии уже через год были отмечены улучшение и стабилизация сердечных показателей. У пациента пропала одышка, увеличилась дистанция ходьбы, и он смог вернуться к нормальному образу жизни.
Фото: верх - Алексей Ловен, далее - из архива врачей
Текст подготовила Наталья Ивашкина (по материалам, предоставленным врачами центра сердечно-сосудистой хирургии)








