Врачи кардиохирургического центра НМИЦ ВМТ им. А. А. Вишневского МО РФ провели операцию на остановленном сердце раненого бойца, во время которой извлекли осколок из правого желудочка.
Пациент Н., 39 лет, получил проникающее осколочное ранение стенки правого желудочка при участии в СВО. Мужчина был оперативно доставлен в медицинское учреждение авиатранспортом, что помогло врачам спасти ему жизнь. Операция по извлечению инородного тела размером почти два сантиметра проводилась в гибридной операционной госпиталя Вишневского. Новейшие технологии были использованы как в диагностике, так и в самом операционном процессе.

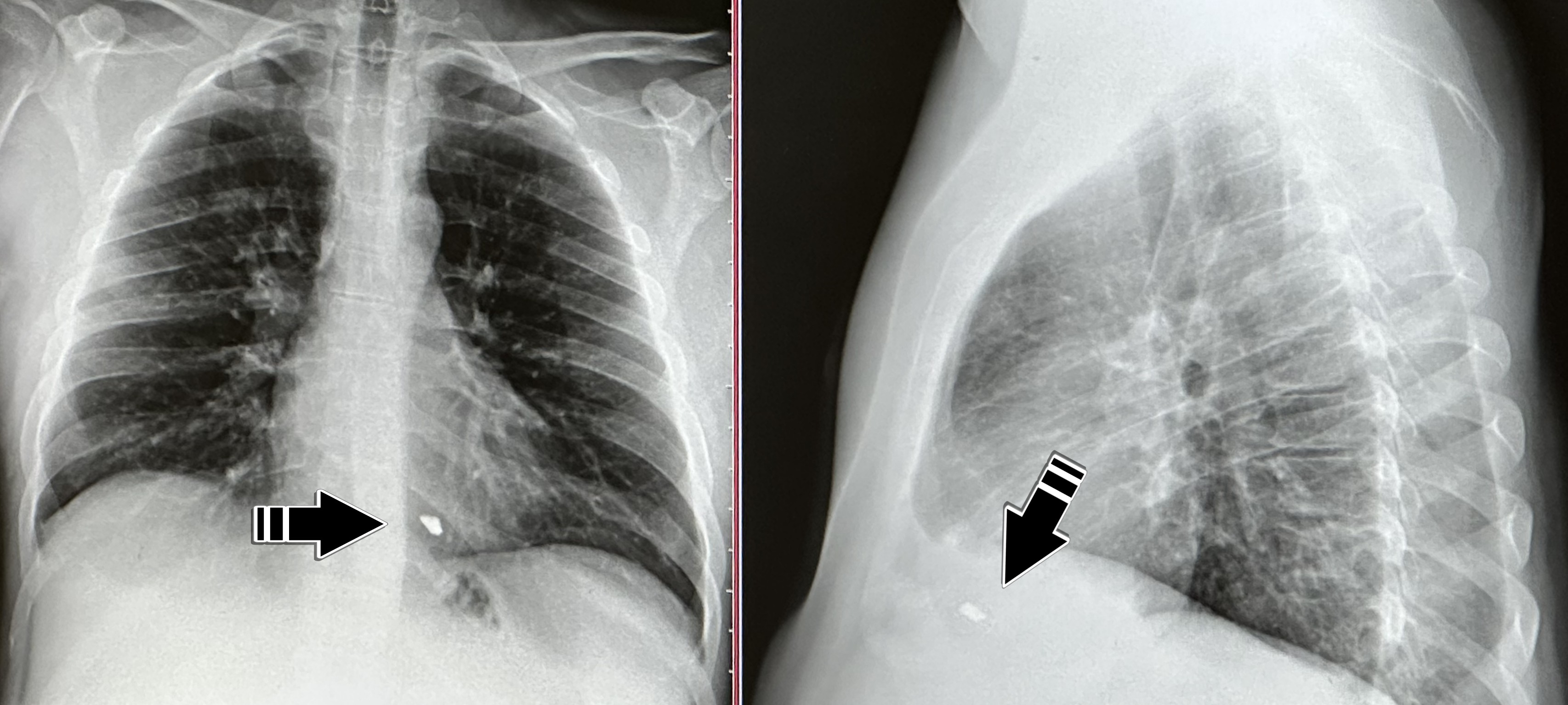
На снимке отчетливо видно светлую точку. Это осколок, который находится в правом желудочке

Момент извлечения осколка из сердца
Профессор Александр Николаевич Лищук отметил, что подобных операций здесь было проведено уже 106. Все эти пациенты выжили, и более того, многие из них уже вернулись на службу, что стало возможным благодаря современным способам эвакуации раненых и стремительно развивающимся медицинским технологиям.
Кардиохирургами были приглашены представители СМИ, наблюдавшие за процессом вначале на экранах мониторов, установленных в ординаторской центра кардиохирургии, а затем - непосредственно в операционной.

Текст и фото: Наталья Ивашкина








